


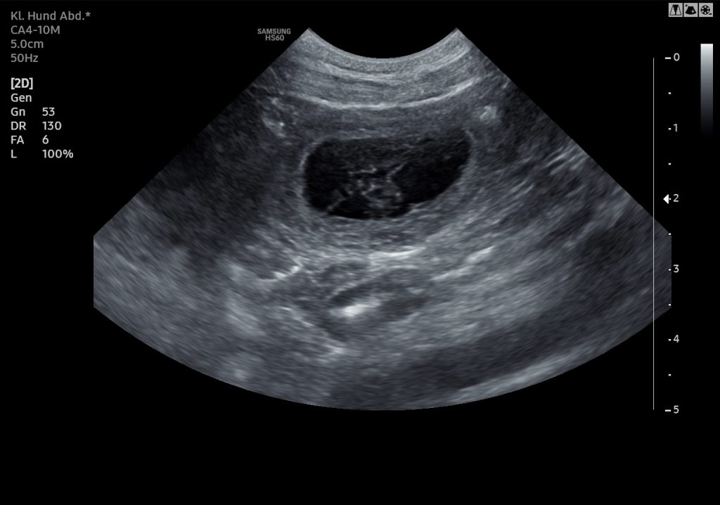
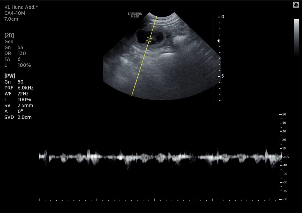
Der Ultraschall hat es bestätigt: Hedda vom Landgöding ist tragend – es sind mindestens 6 Fruchtanlagen zu erkennen. Juhu!
Die kleinen Herzen schlagen bereits und wir freuen uns sehr auf das, was nun vor uns liegt.
Die Geburt wird Ende Juni 2025 auf unserem Hof erwartet.
Die Welpen stammen aus der durchdachten Verpaarung mit dem jagdlich geführten Rüden Donau Hunter’s Callisto.
Beide Elterntiere sind leistungsstark, wesensfest und werden aktiv jagdlich geführt – beste Voraussetzungen für einen gesunden, arbeitsfreudigen Wurf.
Bei ernsthaftem Interesse an einem Welpen aus diesem Wurf freuen wir uns über deine Kontaktaufnahme: Zur Kontaktseite.

Schreibe einen Kommentar